Пансинусит — воспаление всех синусов, часто проявляющееся в хронической форме и ухудшающее качество жизни. Симптомы, такие как заложенность носа, головные боли и общее недомогание, могут привести к серьезным осложнениям без медицинской помощи. В статье рассмотрим основные симптомы хронического пансинусита и эффективные методы лечения, чтобы помочь читателям лучше понять свое состояние и принять обоснованные решения о лечении.
Какие препараты назначит врач
-
Сосудосуживающие капли. Их следует использовать только при необходимости и не более 5 дней подряд. К этой категории относятся такие препараты, как Називин, Назол и Тизин. Дозировка подбирается строго в зависимости от возраста ребенка.
-
Антибиотики системного действия. Эти лекарства назначаются в случае, если заболевание осложняется бактериальной инфекцией или если слизь приобретает желтоватый цвет. Для детей рекомендуется использовать суспензии, а дозировка рассчитывается на основе веса. К часто назначаемым препаратам относятся Аугментин, Амоксиклав, Азитромицин и Сумамед.
-
Назальные спреи с антибиотиками. Они применяются местно, что позволяет им воздействовать непосредственно на воспалительный процесс. Для детей старше года можно использовать Изофру, а для малышей старше 2,5 лет разрешен препарат Полидекса.
-
Обезболивающие и жаропонижающие средства. Их можно применять при головной боли, болях в области глаз и лица, а также при повышении температуры выше 38 градусов. К наиболее безопасным относятся детские сиропы на основе Парацетамола и Ибупрофена.
-
Муколитические препараты. Эти средства помогают разжижать мокроту и выводить ее из носовых пазух. К ним относятся АЦЦ, Флуимуцил и сиропы на основе чабреца.
-
Фитопрепараты и гомеопатические средства. Они оказывают мягкое воздействие на организм и способствуют стимуляции иммунной системы.
Продолжительность лечебного курса обычно составляет от 7 до 10 дней.
Хронический пансинусит представляет собой воспаление всех синусов, которое может значительно ухудшить качество жизни пациента. Эксперты отмечают, что основными симптомами являются постоянные головные боли, заложенность носа, обильные выделения и снижение обоняния. Эти проявления могут длиться месяцами, что делает диагностику и лечение особенно важными.
В лечении хронической формы пансинусита специалисты рекомендуют комплексный подход. Это включает использование противовоспалительных препаратов, антибиотиков при наличии бактериальной инфекции, а также физиотерапевтические процедуры. В некоторых случаях может потребоваться хирургическое вмешательство для восстановления нормального дренажа синусов. Важно, чтобы пациенты не игнорировали симптомы и обращались за медицинской помощью, так как своевременное лечение может предотвратить осложнения и улучшить общее состояние здоровья.

Пансинусит что это такое и почему возникает
При хорошем иммунитете, полноценном и своевременном лечении воспаление одной или нескольких пазух редко переходит в пансинусит. Болезнь развивается при ослабленном здоровье, наличии одной или нескольких отягощающих причин.
Вероятность возникновения пансинусита велика у больных с диагнозом:
- сахарный диабет;
- гипертиреоз;
- онкология;
- анорексия;
- ВИЧ-инфекция.
В группе риска находятся лица страдающие алкоголизмом и наркоманией. Подобные болезни и патологические состояния оказывают отрицательное влияние на функционирование отдельных систем и всего организма в целом, что увеличивает риск развития заболеваний ЛОР органов.
Пансинусит может возникнуть при сильно запущенном кариесе, пульпите, а также после травм головы, носа, сопровождавшихся сильными ушибами и переломами.
Болезнь может проявлять себя в таких формах:
- Катаральная. Такая форма характеризуется отеком и обильным наполнением кровью слизистой оболочки пазух, при которых имеются выделения слизи, но они не носят гнойный характер. Катаральный синусит чаще возникает при вирусных инфекциях ОРВИ, гриппе, кори, скарлатине.
- Гнойная. В острый гнойный пансинусит часто переходит катаральная форма, так как соустья закрываются отеком, отток слизи из пазух нарушается, после чего в них начинают размножаться болезнетворные бактерии. Гнойная форма может возникнуть и первоначально, если инфекция заносится с током крови при поражении других органов и систем. Какой бы этиологии не была гнойная форма пансинусита, она самая опасная.
- Полипозная. При диагностике полипов в носу и пазухах также возникает сильный отек, затруднение циркуляции вдыхаемого и выдыхаемого воздуха, ухудшение оттока слизи, что со временем приводит к прогрессированию обширного синусита.
- Гиперпластическая. Очень плохо поддается лечению и связана с разрастанием тканей в пазухах, нарушением функции желез, образующих слизь.
Чаща всего диагностируется гнойный синусит, вызванный действием болезнетворных бактерий, таких как:
- стафилоккоки;
- стрептококки;
- грамотрицательные палочки.
| Симптом | Описание | Возможные методы лечения (консультация с врачом обязательна!) |
|---|---|---|
| Заложенность носа | Ощущение заложенности в носу, затрудненное носовое дыхание. Может быть постоянным или периодическим. | Назальные кортикостероиды, солевые растворы для промывания носа, деконгестанты (кратковременно), хирургическое вмешательство (в некоторых случаях) |
| Гнойные выделения из носа | Выделения из носа густые, желто-зеленого цвета, могут быть с неприятным запахом. | Антибиотики (при бактериальной инфекции), назальные кортикостероиды, промывание носа |
| Боль в лице | Боль, давление или чувство тяжести в области лба, щек, верхней челюсти. Может быть постоянной или усиливаться при наклонах головы. | Анальгетики, назальные кортикостероиды, хирургическое вмешательство (в некоторых случаях) |
| Головная боль | Головная боль, часто локализуется в области лба или затылка. Может быть интенсивной и постоянной. | Анальгетики, назальные кортикостероиды, лечение основного заболевания |
| Ухудшение обоняния (гипосмия) или потеря обоняния (аносмия) | Снижение или полная потеря способности ощущать запахи. | Лечение основного заболевания, в некоторых случаях – спонтанное восстановление |
| Кашель | Кашель, может быть сухим или влажным, часто усиливается ночью. | Противокашлевые препараты (при сухом кашле), муколитики (при влажном кашле) |
| Усталость и слабость | Общее чувство усталости, слабости и недомогания. | Лечение основного заболевания, достаточный отдых |
| Лихорадка | Повышение температуры тела. Может быть признаком острой инфекции. | Жаропонижающие препараты, антибиотики (при бактериальной инфекции) |
Интересные факты
Вот несколько интересных фактов о пансинусите, его симптомах и лечении хронической формы:
-
Симптоматика: Хронический пансинусит может проявляться не только классическими симптомами, такими как заложенность носа и выделения из носа, но и менее очевидными признаками, такими как хроническая усталость, головные боли и даже нарушения сна. Это связано с тем, что воспаление синусов может влиять на общее состояние организма.
-
Лечение антибиотиками: В отличие от острого пансинусита, который часто лечится антибиотиками, хронический пансинусит может требовать более комплексного подхода. В некоторых случаях антибиотики могут не быть эффективными, и лечение может включать использование кортикостероидов, физиотерапию, а также хирургическое вмешательство, такое как синусотомия, для улучшения дренажа синусов.
-
Влияние на качество жизни: Хронический пансинусит может значительно ухудшать качество жизни пациентов. Исследования показывают, что у людей с этой формой заболевания часто наблюдаются депрессивные состояния и снижение работоспособности, что подчеркивает важность своевременной диагностики и адекватного лечения.

Причины
Существует множество факторов, которые могут привести к развитию риносинусита у детей и вызвать дополнительные осложнения, если лечение не будет начато своевременно. В современной педиатрии выделяют ряд причин, по которым у совершенно здоровых детей могут неожиданно появиться первые симптомы риносинусита.
Переохлаждение организма
Для того, чтобы избежать простудных заболеваний и воспалительных процессов в области околоносовых пазух, ребенок должен быть всегда одет по погоде, а в холодное время года в обязательном порядке одевается головной убор. Продолжительная прогулка на свежем воздухе с переохлаждением организма может стать причиной развития данного заболевания.

Хронические очаги инфекции
Чаще всего причиной, вызывающей риносинусит у детей младше 5 лет, становятся недолеченные инфекционные заболевания горла, миндалин и других органов. Это происходит из-за того, что родители или врач-педиатр не обеспечили своевременное медикаментозное лечение. Лишь после того, как удастся устранить источник бактериальной инфекции, можно начинать процесс выздоровления от риносинусита.
Аутоиммунные заболевания
Врожденные патологии иммунной системы, когда ее клетки, отвечающие за обеспечение защиты организма от вирусов, грибков и бактерий, вырабатываются в незначительном количестве, либо же они очень ослаблены и в полной мере не могут обеспечить выполнение своего функционального предназначения.
Частые простуды
Дети, часто сталкивающиеся с простудами, могут испытывать ринит, который со временем имеет риск перейти в хроническую стадию и развиться в риносинусит различной степени тяжести. Это особенно вероятно, если на каком-то этапе болезни присоединяется вторичная инфекция.
Аллергия
Дети всех возрастных групп подвержены атакам потенциальных раздражителей, присутствующих в воздухе. Таковыми являются шерсть домашних и сельскохозяйственных животных, пылевые клещи, пыльца цветущих растений, тополиный пух.
Контакт с данными аллергенами способен вызвать обильный насморк, который без приема антигистаминных препаратов переходит в риносинусит, а при длительном течении не исключается возникновение первых приступов бронхиальной астмы.
Полипы
По меньшей мере 10% родителей, воспитывающих детей младше 3 лет, сталкиваются с такой неприятной проблемой, как образование полипов в носовых проходах. Причины появления этих доброкачественных эпителиальных образований могут быть различными, однако их наличие всегда служит местным раздражителем, нарушая нормальную циркуляцию воздуха и способствуя хроническому воспалению как в носовых каналах, так и в придаточных пазухах.
Плохая экология
У детей слизистая оболочка, покрывающая эпителиальные ткани носоглотки, отличается особой чувствительностью к воздуху и веществам, присутствующим в нем. Если ребенок проживает и воспитывается в регионе с неблагополучной экологической обстановкой, ежедневно вдыхает потоки воздуха, насыщенные вредными химическими соединениями, то в таком случае риносинусит проявляется, как отрицательная реакция организма на токсические вещества.
Также на возникновение риносинусита у детей имеет большое влияние качество продуктов питания, употребляемых ребенком в пищу. От данного фактора зависит не только стабильный рост, набор веса и развитие детского организма в целом, но еще и состояние иммунной системы, которая не может оказывать должное сопротивление инфекционным возбудителям болезни без питания всеми необходимыми минералами, витаминами, аминокислотами и прочими белковыми соединениями.
Профилактика
Важно осознавать, что соблюдение мер предосторожности помогает предотвратить множество заболеваний. Чтобы избежать возникновения синусита, следует придерживаться следующих рекомендаций:
- оперативно лечить любые болезни у ребенка;
- укреплять иммунную систему с помощью витаминов;
- поддерживать гигиену полости рта;
- следить за тем, чтобы ребенок не подвергался переохлаждению;
- проводить профилактический массаж;
- заниматься дыхательной гимнастикой – пусть ребенок поочередно дышит то правой, то левой ноздрей в течение пяти секунд (это способствует улучшению кровообращения).
Теперь вы ознакомлены с тем, что такое синусит и каковы его симптомы у детей. Не забывайте о важности своевременного обращения к врачу и начала необходимого лечения. Помните о мерах предосторожности. Гораздо легче предотвратить заболевание, чем потом бороться с его последствиями.
Симптомы
Обычно симптомы синусита появляются вместе с признаками простуды, включают общее недомогание, повышенную температуру, часто субфебрильную. Нередко, как общая реакция организма на заболевание, могут появляться головная боль, слабость, лихорадка. Данные симптомы не специфичны, поэтому для правильной диагностики синусита нужно учитывать местные признаки:
- Боль в определенной части лица. Может отдавать в голову.
- Выделения слизи (прозрачные, белые) или гноя (желтые, зеленые) из носа или носоглотки (могут стекать по задней стенке глотки).
- Расстройство обоняния или его отсутствие.
- Затруднение дыхания происходит вследствие закупорки пазух слизистым или гнойным отделяемым, отека или гиперплазии слизистой. Носовое дыхание может нарушаться с одной стороны, если пазухи воспалены односторонне, но чаще всего наблюдается двухсторонний синусит.
- Обычно боль в голове локализируется во лбу и в висках. Часто усиливается или отдает в другие очаги при резких движениях или наклонах головы.
- Ночная головная боль характерна при поражении клиновидной пазухи. Она наблюдается в центральной части головы, часто и в затылочных отделах.
- Гиперемия (покраснение кожных покровов) над пораженной пазухой.
Внимание! Синусит нередко бывает осложнением вирусной или бактериальной инфекции верхних дыхательных путей, часто он начинается при остром течении болезни. Вместе с ним может начаться и отит, поэтому при появлении болевых симптомов или отека слизистой на фоне, к примеру, обструктивного бронхита или , нужно сразу проверить не только пазухи носа, но и состояние слухового прохода.
Существует 3 формы острого синусита:
- Легкая форма характеризуется рентгенологическими и местными признаками, при которых почти не наблюдаются или минимально выражены симптомы интоксикации, нет боли в голове или в области пораженных пазух. Температура тела не поднимается выше субфебрильной.
- Синусит средней тяжести характеризуется выраженными, но не сильными признаками интоксикации, присутствует боль в голове или пазухах, однако она имеет умеренный характер. Температура тела может повышаться до 38°С-38,5°С. Иногда появляется слабовыраженный реактивный отек век или мягких тканей возле носовых пазух.
- Тяжелая форма синусита может вызвать осложнения. При этом наблюдается сильная интоксикация. Пациенты не могут жить полноценной жизнью из-за боли в голове и носовых пазухах. Отек сильно выражен, в некоторых случаях поднимается и распространяется на глаза. Температура тела обычно больше 38°С.
Характеристика заболевания
Что такое пансинусит? Острый пансинусит представляет собой распространенное заболевание, при котором воспалительный процесс охватывает носовые пазухи с обеих сторон носа. Воспаление затрагивает все области: верхнечелюстную, лобную, клиновидную и решетчатый лабиринт. Это заболевание протекает значительно тяжелее, чем другие патологии носоглотки, и может привести к серьезным осложнениям, если не начать лечение вовремя.
Когда воспаление затрагивает лишь одну сторону лица, это считается частным случаем пансинусита и называется гемисинуситом. Основной причиной возникновения заболевания являются вирусы. В носовых пазухах не происходит накопления гноя, однако наблюдается значительное разрастание слизистой оболочки и отечность.
- Острый гнойный пансинусит.
Эта форма заболевания является наиболее опасной. Опасность заключается в том, что нагноение в носовых пазухах развивается очень быстро, и гной выделяется в больших количествах. Основной причиной возникновения этого состояния часто становятся полипы в носовых пазухах, которые затрудняют поступление кислорода в носовую полость, что приводит к проблемам с дыханием.
Если лечение не начато вовремя, заболевание может перейти в хроническую форму, что может потребовать хирургического вмешательства. Однако перед операцией необходимо будет провести компьютерную томографию.
Лечение синусита
В комплексной терапии для лечения синусита у детей в разных комбинациях применяют:
- Сосудосуживающие препараты местного применения, которые уменьшают отечность слизистых и быстро облегчают дыхание (ксилометазолин, оксиметазолин и др.). Малышам их назначают в форме капель. Детям от 3 лет – в форме спрея. Обратите внимание, что сосудосуживающие препараты можно применять не более 5 суток.
- Антибактериальные и антисептические средства (Изофра, Протаргол и др.). Их назначают при синусите с выраженными симптомами, когда нужно быстро снять общую интоксикацию организма и устранить патогенные бактерии.
- при повышенной температуре (в педиатрии обычно применяют лекарства содержащие парацетамол или ибупрофен).
- Препараты для разжижения или уменьшения носовой слизи (Амброксол, Синупрет и др.).
- Физиотерапию (прогревания, ингаляции, промывание носа солевыми и лекарственными растворами).
- Антибиотики при синусите у детей назначают, если воспаление осложняется гнойными выделениями.
Важно! Форму каждого препарата и его дозировку вам индивидуально подберет лечащий врач в зависимости от возраста ребенка и сложности протекания болезни. . Прокол при синусите
Прокол при синусите
При наличии медицинских показаний или если консервативные методы лечения не приносят результатов, может быть рекомендован прокол пазухи. Это необходимо для быстрого удаления гноя и улучшения состояния ребенка. У маленьких детей такая процедура может привести к осложнениям, поэтому к ней прибегают лишь в самых серьезных ситуациях.
Госпитализация
Вовремя обнаруженный синусит обычно лечат дома под наблюдением педиатра. Госпитализация рекомендована, если синусит у ребенка имеет осложненную гнойную форму, протекает с высокой температурой и выраженной общей интоксикацией.
Лечение пансинусита
Пансинусит нуждается в срочном профессиональном лечении, так как представляет собой серьезное осложнение обычного синусита и может привести к развитию множества других заболеваний. Главные аспекты терапии в данном случае включают в себя ликвидацию инфекции и гноя/полипов, восстановление нормального дренажа и улучшение проходимости всех синусов, а также облегчение выраженных симптомов.
Медикаментозный способ
- Курс системных антибиотиков широко спектра действия. Рационально применять препараты цефалоспориновой или макролидной группы – Цефтриаксон, Эритромицин, Азитромицин. Дозировка и длительность курса определяется индивидуально в зависимости от формы пансинусита и запущенности болезни.
- Сосудосуживающие капли от насморка. Временно нейтрализируют заложенность носа, позволяют дышать им, выводить гной и слизь, применять препараты местного действия. Самые популярные – Виброцил, Нафтизин, Риназолин. Курс приёма – не более семи дней.
- Промывания специальным физраствором. После восстановления носового дыхания при помощи сосудосуживающих капель, рационально использовать специальные растворы для промывания пазух носа на соляной или фурацилиновой основе. При пансинуситах лучше делать это в условиях стационара (известная процедура «Кукушка»), в крайнем случае – дома, соблюдая технологию такого рода мероприятия.
- Использование местный комплексных препаратов. После очистки и деблокации носовых ходов и промывки, рационально использовать в качестве дополнительной терапии, комплексные капли гомеопатического спектра – Эуфорбиум, Афлубин Ларинол.
- Антигистаминные препараты. Для уменьшения воспалительных реакций и снижения негативного эффекта от лекарственных препаратов, обычно назначают антигистаминные препараты Лоратадин, Эриус.
- Кортикостероиды. При острой форме пансинусита назначаются кортикостероиды – гормональные препараты Гидрокортизон, Преднизолон.
Народные средства
Любые традиционные методы лечения данного заболевания следует обязательно согласовывать с ЛОР-врачом, иначе это может привести к серьезному ухудшению состояния здоровья.
-
Промывание носа травяными отварами. Для этого можно использовать отдельные травы или их смеси, такие как шалфей, зверобой, календула, череда, малина, каланхоэ и другие. Травы заливаются теплой водой в пропорции 1 столовая ложка сбора на литр воды, настаиваются на водяной бане и фильтруются. Полученный раствор вводится в носовые пазухи с помощью традиционной процедуры промывания, после чего необходимо тщательно высморкаться.
-
Ингаляции. Эти процедуры проводятся над паровыми банями с травами, такими как ромашка, шалфей, душица и эвкалипт. Однако больным с заболеваниями дыхательной системы, легкими и сердечно-сосудистой системой следует избегать таких процедур. Не стоит путать ингаляции с использованием небулайзера при обычном насморке.
-
Прогревания. Этот метод включает в себя нагрев глины или соли и размещение их в тканевых мешочках на области носовых пазух. Прогревания не следует проводить, если пансинусит имеет гнойную или полипозную форму.
-
Использование мазей. В народной медицине при пансинусите рекомендуют применять мази на основе воска, каланхоэ, меда и алоэ. Смесь наносится на ватные тампоны, которые затем вставляются в носовые ходы на двадцать минут. Не рекомендуется использовать мази людям с высокой чувствительностью или аллергией на какой-либо из компонентов.
Лечение
При наличии хотя бы одного признака болезни необходимо проконсультироваться с доктором. Если диагноз «острый пансинусит» подтверждён, то больному рекомендуется лечь в больницу. Терапия в домашних условиях запрещена, ввиду большой вероятности осложнений.
Начинать лечение следует с приёма антибиотиков с расширенным действенным механизмом – Азитромицина, Амоксиклава, Ципрофлоксацина. Продолжительность терапии составляет в среднем 7-10 дней. Кроме того, назначаются антибактериальные препараты в виде спреев и капель (Изофра, Полидекса).
Если причиной болезни стала грибковая инфекция, выписывается Флуканозол, Кетоканозол, вирусная – Кагоцел, Ингавирин. Среди противовоспалительных средств предпочтение отдают Диклофенаку, Нурофену, Парацетамолу. В качестве антигистаминных препаратов (если болезнь вызвана аллергическим ринитом) показаны Супрастин, Зиртек.
Обязательно больному назначаются физиопроцедуры:
- УВЧ;
- магнитная терапия;
- сверхвысокочастотная терапия;
- лазеротерапия.
Если консервативная терапия не оказала положительного эффекта, прибегают к операции. В ходе оперативного вмешательства хирург осуществляет прокол пазухи, для того чтобы образовалось отверстие, через которое будет откачиваться скопившаяся слизь. Пункция также осуществляется для введения в полость пазухи антибактериальных, противовоспалительных препаратов. Полипозный пансинусит также лечится исключительно хирургическим путём.
Для укрепления иммунитета, снятия воспалительного процесса, устранения боли принимают липовый чай. Нос можно закапывать соком алоэ и каланхоэ. В качестве домашнего средства для промывания полости носа используется солевой раствор – на стакан тёплой воды 1 ч. л. соли. При пансинусите рекомендуется употреблять много овощей и фруктов, особенно, с большим содержанием витамина С (чёрная смородина, петрушка, болгарский перец).
Пансинусит – это заболевание, которое требует от себя срочного принятия мер. Если не приступить к лечению своевременно, то существует риск серьёзных осложнений – перехода патологии в хроническую форму, распространения воспалительного процесса на оболочки головного мозга. Избавиться от заболевания можно только после приёма антибактериальных препаратов.
Когда при пансинусите необходима операция
Медикаментозное лечение заболевания не даст желаемых результатов, если его причина кроется в аномалиях строения носа или наличии опухолей. Операция необходима также в случаях, когда у пациента диагностирован острый гнойный пансинусит, который может привести к таким серьезным осложнениям, как менингит или флегмона глазницы.
Поскольку патологический процесс может затрагивать все носовые пазухи, иногда пациенту требуется не одно, а несколько хирургических вмешательств. Для определения подходящей тактики следующей операции врачи направляют пациента на тщательную диагностику черепных структур и анализ наличия экссудата в придаточных пазухах.
Наилучшим методом хирургического вмешательства является использование эндоскопического оборудования. Интраназальное введение инструментов позволяет избежать разрезов в костной ткани. Эндоскоп эффективно устраняет основную причину пансинусита с минимальным травматизмом, что способствует более быстрому восстановлению пациентов и снижает риск осложнений.
После операции пациент должен находиться под наблюдением не только у ЛОР-врача, но и у эндокринолога и иммунолога. Часто именно ослабленный иммунитет и гормональные нарушения становятся причиной того, что организм не может справиться с воспалительными процессами в придаточных пазухах.
Кроме того, пациенту следует внести изменения в свой образ жизни: достаточно отдыхать, правильно питаться, избегать стрессов и включить в рацион поливитамины. Возможно, потребуется отказаться от курения. Укрепить иммунитет помогут регулярные физические нагрузки, такие как дыхательная гимнастика, прогулки на свежем воздухе и закаливание.
Методы диагностики полипозного риносинусита
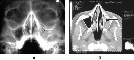
Чтобы точно определить вид болезни и степень поражения носовых пазух, используются такие методы:
- Компьютерная томография.
- Рентгенография.
- Эндоскопия.
Наиболее точную картину о патологии дает эндоскопическое исследование. Эта процедура относится к малоинвазивным, но при этом позволяет детально и точно исследовать слизистую носа и ткани носовых полостей. Проводится она с использованием специального прибора – эндоскопа.
Назальный эндоскоп представляет собой тонкую трубку из жесткого материала, внутри которой находится волоконно-оптический кабель. Через него исследуются под разными углами все участки поверхности носовых проходов и устанавливаются малейшие разрастания и новообразования.
Полученная информация передается на монитор, затем фиксируется и распечатывается. Эндоскопия носовых полостей делается несколько раз, пока проводится лечение – это позволяет отследить динамику и при необходимости откорректировать программу терапии. На данный момент это самый эффективный метод диагностики полипозного риносинусита.
Лечение синуситов, прежде всего, преследует следующие цели:
- восстановление просвета соустий, соединяющих пазуху и полость носа;
- разжижение и улучшение оттока отделяемого пазух;
- борьба с возбудителем инфекции.
Для достижения терапевтического эффекта применяют следующие группы препаратов.
Деконгестанты
Это капли, которые помогают снизить отечность носа и восстанавливают проходимость соустий придаточных пазух. К примеру:
- «Називин»;
- «Виброцил»;
- «Галазолин».
Антибактериальные средства
Антибиотики показаны при бактериальной природе заболевания. Обычно врачи применяют препараты с широким спектром действия и доказанной эффективностью при синуситах («Амоксикав», лекарства группы цефалоспоринов).
Лечить синусит у детей в домашних условиях также можно ингаляциями с использованием антибактериальных препаратов (например, «Декасан»). Они проводятся при помощи небулайзера. Для улучшения оттока из придаточных пазух носа применяют ингаляции с амброксолом, ацетилцистеином. Дополнительно используют народные средства (ингаляции с настоем цветов ромашки или календулы, травы шалфея).
Муколитики
Это препараты, способствующие разжижению мокроты. Они улучшают текучесть и уменьшают вязкость выделений, восстанавливая дренаж из придаточных пазух носа. Наиболее распространенным средством в этой категории является ацетилцистеин.
Фитопрепараты занимают важное место в терапии синуситов. Среди них чаще всего назначается . Основные ингредиенты этого препарата включают:
- корень генцианы;
- траву щавеля;
- цветки первоцвета;
- цветки черной бузины;
- траву вербены.
Каждое из этих растений обладает уникальными лечебными свойствами и усиливает действие остальных компонентов средства.
Существуют рекомендации специалистов по использованию «Синупрета» для профилактики частых обострений хронического синусита у детей и взрослых. В этом случае допускается длительный прием препарата (до двух-трех месяцев). Такая профилактика значительно снижает риск осложнений при ОРВИ и способствует повышению иммунной устойчивости организма.
Симптоматика
Клиника заболевания включает признаки болевого, катарального и интоксикационного синдромов.
Симптомы пансинусита:
- Лихорадка;
- Озноб;
- Боль в проекции пазух носа;
- Слизистые или гнойные выделения из носа;
- Гнусавость или осиплость голоса;
- Отечность лица;
- Гнойный насморк;
- Быстрая утомляемость, слабость и бледность.
У детей пансинусит подозревают при наличии ночного кашля и гнойных выделений из носа в течение 10 дней.
Острый пансинусит возникает внезапно и проявляется жаром, ознобом, слабостью. Головная боль присутствует постоянно или появляется периодически. У больных бледнеют кожные покровы, пропадает аппетит, нарушается сон. После развития выраженной интоксикации появляется заложенность носа, боль в проекции пораженных пазух, гнойный насморк, некоторая гнусавость. Обоняние притупляется или полностью пропадает.
Если воспаление захватывает правую лобную, гайморову и пазухи, развивается правосторонний пансинусит, который проявляется перечисленными выше клиническими признаками с пораженной стороны. При воспалении придаточных пазух слева, говорят о левостороннем пансинусите.
При адекватной терапии пансинусита прогноз благоприятный. При отсутствии своевременной и правильной диагностики заболевания, а также эффективного лечения острая форма патологии переходит в хроническую и осложняется воспалением мозговых оболочек.
Хронический пансинусит проявляется так же, как и острый, но в менее выраженной степени. Симптомы могут исчезать на некоторое время, а затем появляться вновь. Температура тела часто остается нормальной или повышается до субфебрильных значений. Гипертрофический пансинусит проявляется нарушением носового дыхания, отсутствием эффекта от сосудосуживающих капель, храпом по ночам, слизисто-гнойными выделениями из носа. У больных постоянно открыт рот, обоняние пропадает, нарушается кровообращение в лицевой зоне, ухудшается память.
Пансинусит у детей имеет некоторые особенности. Придаточные пазухи носа в детском возрасте еще не полностью сформированы. Заболевание у малышей может протекать бессимптомно, поскольку субъективные признаки выявить практически невозможно. У детей постарше пансинусит и полисинусит встречаются довольно часто, моносинусит практически не возникает.
Осложнения пансинусита
Пансинусит, как хроническое воспаление всех синусов, может привести к различным осложнениям, если его не лечить должным образом. Осложнения могут затрагивать как местные, так и системные аспекты здоровья пациента.
Одним из наиболее распространенных местных осложнений является острый синусит, который может развиться на фоне хронического пансинусита. При этом воспаление может усиливаться, вызывая резкое ухудшение состояния пациента, появление сильной головной боли, отечность лица и выделения из носа, которые могут стать гнойными.
Другим серьезным осложнением является инфекция глаз, которая может возникнуть из-за распространения инфекции из синусов в орбиту. Это может привести к таким состояниям, как орбитальный целлюлит или абсцесс, что требует немедленного медицинского вмешательства. Симптомы могут включать боль в глазах, отек век, ухудшение зрения и даже лихорадку.
Также возможно развитие менингита, что является крайне опасным состоянием. Инфекция может распространиться на оболочки головного и спинного мозга, вызывая такие симптомы, как сильная головная боль, ригидность затылочных мышц, светобоязнь и спутанность сознания. Менингит требует неотложной медицинской помощи и часто требует госпитализации.
Системные осложнения могут включать сепсис, который возникает, когда инфекция из синусов попадает в кровоток. Это состояние может быть угрожающим для жизни и требует немедленного лечения в стационаре. Симптомы сепсиса могут включать высокую температуру, учащенное сердцебиение, затрудненное дыхание и общее ухудшение состояния.
Кроме того, хронический пансинусит может способствовать развитию аллергических реакций и астмы, так как постоянное воспаление и инфекция могут ухудшать общее состояние дыхательных путей. У пациентов с предрасположенностью к аллергиям может наблюдаться ухудшение симптомов, таких как кашель, одышка и хрипы.
Важно отметить, что профилактика осложнений пансинусита включает в себя своевременное обращение к врачу при первых признаках заболевания, а также соблюдение всех рекомендаций по лечению. Регулярные осмотры у отоларинголога и контроль состояния здоровья помогут избежать серьезных последствий и сохранить качество жизни пациента.
Вопрос-ответ
Как понять, что у тебя пансинусит?
Пансинусит можно заподозрить по сочетанию симптомов, таких как сильная боль и давление в области лица, затрудненное дыхание через нос, обильные выделения из носа, потеря обоняния, а также общая слабость и высокая температура. Если эти симптомы сохраняются более 10 дней или ухудшаются, стоит обратиться к врачу для диагностики и лечения.
Как долго проходит пансинусит?
При пансинусите происходит генерализованное воспаление, которое может быть: острым — развивается быстро, симптомы выражены, длительность до 4 недель. Хроническим — сохраняется более 12 недель, проявляется менее остро, но с периодическими обострениями.
Советы
СОВЕТ №1
Регулярно посещайте врача-отоларинголога для контроля состояния. Хронический пансинусит требует постоянного наблюдения, чтобы избежать обострений и осложнений. Специалист поможет подобрать индивидуальное лечение и даст рекомендации по профилактике.
СОВЕТ №2
Обратите внимание на гигиену носовой полости. Используйте солевые растворы для промывания носа, чтобы уменьшить воспаление и очистить носовые проходы. Это поможет улучшить дыхание и снизить риск инфекций.
СОВЕТ №3
Следите за влажностью воздуха в помещении. Сухой воздух может усугубить симптомы пансинусита. Используйте увлажнители или ставьте емкости с водой, чтобы поддерживать оптимальный уровень влажности.
СОВЕТ №4
Избегайте аллергенов и раздражителей. Если у вас есть аллергия, старайтесь минимизировать контакт с аллергенами, такими как пыль, пыльца или дым. Это поможет снизить воспаление и улучшить общее состояние.




