Налет на миндалинах у ребенка без повышения температуры может вызывать беспокойство у родителей, так как часто связан с инфекциями и заболеваниями. Налет имеет разные причины: вирусные и бактериальные инфекции, аллергические реакции или механические повреждения. Эта статья поможет родителям разобраться в причинах налета, его симптомах и способах диагностики, а также даст рекомендации по действиям при его появлении, что позволит своевременно обратиться за медицинской помощью и обеспечить здоровье ребенка.
Лечение налета в горле народными средствами
Только квалифицированный специалист сможет помочь пациенту справиться с возникшей проблемой. Однако, применяя рекомендации народной медицины, можно ускорить процесс выздоровления. Рассмотрим наиболее эффективные из них:
- Мед обладает мощными антисептическими свойствами, поэтому, если у вас нет на него аллергии, можно медленно рассасывать по чайной ложке меда. Этот метод также подходит для профилактики, но не рекомендуется использовать его дольше месяца.
- Чеснок известен своими антибактериальными свойствами и может быть полезен при лечении.
- Регулярное полоскание ротовой полости раствором, состоящим из половины чайной ложки соды и соли, разведенных в стакане теплой кипяченой воды, также окажет положительное влияние. При отсутствии аллергии можно добавить каплю йода.
- Жевание дольки лимона (возможно, с медом или сахаром) поможет уменьшить болезненные ощущения.
- Эффективными являются и ингаляции с луком. Для этого нужно мелко нарезать лук, наклониться над емкостью и вдыхать пары в течение 3−5 минут. Рекомендуется проводить такие ингаляции несколько раз в день.
- Простой и эффективный способ избавиться от гноя — полоскание горла отваром свеклы дважды в день. Овощ следует тщательно промыть, а очищать его от кожуры не стоит, так как в ней содержится множество полезных веществ.
Врач-педиатр отмечает, что налет на миндалинах у ребенка без повышения температуры может быть признаком различных состояний. В первую очередь, это может свидетельствовать о хроническом тонзиллите или кандидозе, который часто возникает на фоне ослабленного иммунитета. Эксперт подчеркивает, что важно обратить внимание на сопутствующие симптомы, такие как боль в горле, неприятный запах изо рта или изменения в аппетите. В таких случаях рекомендуется обратиться к врачу для диагностики и назначения соответствующего лечения. Кроме того, педиатр советует родителям следить за гигиеной полости рта и укреплять иммунитет ребенка с помощью правильного питания и активного образа жизни.

Удаление
Увеличение миндалин и появление на них налета не является самостоятельным заболеванием. Эти симптомы возникают при разных болезнях, поэтому важно установить причину их появления. Иногда ситуация складывается таким образом, что консервативные методы лечения не приносят желаемого результата.
Когда гланды становятся опасными для организма, рекомендована тонзиллэктомия. Показания к ее выполнению:
- частые ангины (более 3-х раз в год);
- затрудненное дыхание, из-за того, что гланды начинают увеличиваться, закрывают проход воздуху;
- лечение не приносит результата.
Решение об удалении родители принимают совместно с врачом. После операции несколько дней сохраняется боль в горле. Где-то на 3-й день рана, оставшаяся после гланд, покрывается беловато-желтым налетом, болезненность усиливается, температура после удаления миндалин обычно отсутствует или незначительно поднимается. Пациенту рекомендовано избегать физической нагрузки, придерживаться щадящей диеты.
Когда гланд нет, защитную функцию приходится выполнять другим органам, поэтому нагрузка на них возрастет. Нужно быть готовым к тому, что теперь инфекции легче проникать ниже ‑ к бронхам, легким. Поэтому рекомендовано придерживаться профилактических мероприятий, направленных на укрепление иммунитета, предупреждение болезни.
| Причина налета на миндалинах | Описание налета | Дополнительные симптомы |
|---|---|---|
| Вирусная инфекция (например, мононуклеоз, аденовирусная инфекция) | Белый или желтоватый, может быть плотным или рыхлым, легко снимается | Боль в горле, кашель, насморк, увеличение лимфатических узлов, слабость |
| Бактериальная инфекция (например, стрептококковая ангина) | Белый или желтоватый, обычно плотный, может быть гнойный, трудно снимается | Сильная боль в горле, головная боль, тошнота, рвота |
| Грибковая инфекция (кандидоз) | Белый, творожистый, легко снимается, оставляет красную воспаленную поверхность | Зуд, жжение во рту |
| Аллергическая реакция | Белый или желтоватый, может быть рыхлым | Зуд в горле, чихание, насморк, слезотечение, кожные высыпания |
| Дефицит витаминов | Белый или желтоватый, может быть рыхлым | Общая слабость, бледность кожи, ломкость ногтей и волос |
| Недостаточная гигиена полости рта | Белый или желтоватый, рыхлый, легко снимается | Неприятный запах изо рта |
Интересные факты
Вот несколько интересных фактов о налете на миндалинах у детей без повышения температуры:
-
Бактериальная инфекция: Налет на миндалинах может быть признаком бактериальной инфекции, такой как стрептококковая ангина, даже если температура остается в норме. В некоторых случаях иммунный ответ может быть недостаточно выраженным, чтобы вызвать лихорадку, но налет все равно может указывать на наличие инфекции.
-
Кандидоз: Налет на миндалинах может быть вызван грибковой инфекцией, такой как кандидоз (молочница). Это состояние чаще встречается у детей с ослабленным иммунитетом или после курса антибиотиков, которые могут нарушить баланс микрофлоры.
-
Аллергические реакции: Иногда налет на миндалинах может быть связан с аллергическими реакциями, например, на пыльцу или пищевые продукты. В таких случаях налет может сопровождаться другими симптомами, такими как зуд в горле или кашель, но температура может оставаться нормальной.
Важно помнить, что при появлении налета на миндалинах у ребенка следует обратиться к врачу для диагностики и назначения соответствующего лечения.

Причины появления налета
Строение миндалин характеризуется наличием множества складок (лакун) на их поверхности. Эти образования служат для задерживания патогенных микроорганизмов, которые пытаются проникнуть в организм. Со временем в этих лакунах скапливаются остатки пищи и бактерии. Если их количество велико, а иммунная система ослаблена, миндалины не успевают эффективно очищаться от микробов. В результате их размножения образуется гной, который покрывает гланды своеобразной пленкой.
Появление белого налета на миндалинах является сигналом о наличии инфекции в организме. В такой ситуации крайне важно принять меры для укрепления иммунной системы и устранения воспалительного процесса. Организм не всегда способен самостоятельно справиться с заболеванием, и ему требуется помощь. Необходимо предотвратить распространение микробов или вирусов через горло к трахее, бронхам и легким.
О чем свидетельствуют признаки желтого налета на миндалинах
Если у ребенка наблюдается желтый налет на гландах, то это может свидетельствовать о заболеваниях, как при белом налете, так и при гнойном. Зачастую желтый налет – это начальная стадия гнойной ангины или тонзиллита. Если не прибегнуть к устранению данного признака, то с течением времени дети могут столкнуться с перерастанием налета в гнойнички.
Желтизна на миндалинах может проявляться в виде творожистых отложений, которые свидетельствуют о молочнице или ангине. Для устранения развивающихся признаков следует прибегнуть к использованию антибиотиков. С ангиной помогут справиться только серьезные лекарственные средства, оказывающие мощный эффект. Вылечить ангину без применения антибиотиков не получится. Если симптомы ангины исчезнут, то это будет означать, что она перешла в хроническую форму.
Важно знать! Какие антибиотики следует использовать для лечения ангины, следует уточнить у врача после прохождения обследования.

Лечение в домашних условиях
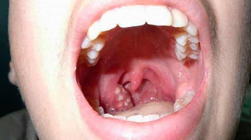
Если у ребенка появился белый налет на гландах (фото), как можно лечить это состояние в домашних условиях, если нет возможности сразу обратиться к врачу?
Белый налет и воспаление на гландах
Прежде всего, важно предотвратить дальнейшее распространение инфекции. Для этого необходимо обработать слизистые оболочки миндалин и гортани раствором щелочи, который эффективно подавляет патогенные микроорганизмы, замедляя их рост и развитие. Наиболее известным и доступным щелочным средством является обычная пищевая сода.
Чтобы избавиться от белого налета и сопутствующих неприятных симптомов, рекомендуется полоскать горло слабым раствором соды как минимум три-четыре раза в день. Вода для полоскания должна быть комнатной температуры; не стоит предлагать ребенку слишком горячую или холодную жидкость.
Если ребенок еще слишком мал и не умеет полоскать горло, можно предложить ему много питья, что поможет частично очистить миндалины от вредоносных микроорганизмов. В этом случае особенно эффективны морсы, приготовленные из клюквы, черной смородины или шиповника.
Следует помнить, что лечение любых заболеваний в домашних условиях не должно быть основным методом. Такие меры являются лишь вспомогательными и должны дополнять основной курс лечения, назначенный врачом, направленный на устранение воспалительных процессов.
Причины появления белого налета в горле
Белый налет на гландах может свидетельствовать о том, что у ребенка начинает развиваться хронический тонзиллит. Заболевание это весьма небезопасное и чреватое тем, что имеет широкий круг последствий. Если пустить проблему на самотек, со временем у ребенка могут развиться заболевания разных систем и органов.
Хронический тонзиллит может влиять на следующие системы организма: мочеполовую (цистит, у девочек аднексит), сердечно-сосудистую (нарушение ритмов сердца, развитие ВСД), пищеварительную (заболевания желудка), иммунную (повышения частоты возникновения простудных заболеваний и ОРВИ, появление аллергии), эндокринную (заболевания щитовидной железы). Еще может происходить повреждение эмали зубов (опасность развития кариеса и парадонтоза) и появиться неприятный запах изо рта.
Также хронический тонзиллит влияет на общую хроническую усталость, что приводит со временем к проблемам с учебой, формированию проблем в поведении и характере ребенка. Бактерии, которые вызывают это заболевание, продуктами своей жизнедеятельности засоряют организм ребенка, что может привести к кожи и косметическим дефектам.
Когда обращаться к врачу
Налет на миндалинах у ребенка без температуры может быть признаком различных заболеваний и состояний, которые требуют внимательного подхода. Важно понимать, что наличие налета само по себе не является диагнозом, а лишь симптомом, который может указывать на необходимость медицинского вмешательства.
Если у ребенка наблюдается налет на миндалинах, но при этом отсутствует высокая температура, это может быть связано с несколькими факторами. Одним из наиболее распространенных является хронический тонзиллит, при котором миндалины воспалены, но не проявляют себя в виде острого заболевания. В этом случае налет может быть белесым или желтоватым и не сопровождаться другими симптомами, такими как высокая температура или сильная боль в горле.
Другой возможной причиной является кандидоз (молочница) миндалин, который может развиваться на фоне ослабленного иммунитета или после курса антибиотиков. В этом случае налет будет белым и творожистым, а также может сопровождаться неприятным запахом изо рта. Важно отметить, что кандидоз требует специфического лечения, и его игнорирование может привести к ухудшению состояния.
Также налет на миндалинах может быть следствием аллергической реакции, когда миндалины реагируют на раздражители, такие как пыльца, пыль или продукты питания. В этом случае налет может быть менее выраженным, и другие симптомы аллергии, такие как насморк или зуд в глазах, могут быть более заметными.
При наличии налета на миндалинах без температуры важно обратить внимание на общее состояние ребенка. Если он активен, ест и пьет нормально, то, возможно, ситуация не требует немедленного вмешательства. Однако если налет сопровождается другими симптомами, такими как затрудненное глотание, боль в горле, неприятный запах изо рта или изменения в поведении ребенка, это может быть сигналом о необходимости обращения к врачу.
Врач может провести осмотр, назначить необходимые анализы и, при необходимости, рекомендовать лечение. Важно помнить, что самолечение в таких случаях может быть опасным, так как неправильная диагностика и лечение могут привести к осложнениям.
Таким образом, налет на миндалинах без температуры у ребенка может быть признаком различных состояний, и важно внимательно следить за симптомами и общим состоянием ребенка, чтобы своевременно обратиться за медицинской помощью.
Вопрос-ответ
Почему тонзиллит без температуры?
Без повышения температуры миндалины могут воспаляться из-за аллергии. Увеличение миндалин часто происходит у людей, подверженных аллергии. В качестве аллергенов выступают разные вещества: шерсть животных, пыль, пыльца, продукты питания, насекомые, бытовые химические средства.
При какой ангине не бывает температуры?
В медицинской среде используют термин «острый тонзиллит», так как tonsillae в переводе с греческого языка означает «миндалины». Именно их болезнь поражает в первую очередь. Гнойная ангина без температуры (катаральный тонзиллит) — это одна из форм заболевания. Она встречается гораздо реже, чем другие виды.
Советы
СОВЕТ №1
Обратите внимание на симптомы. Налет на миндалинах может быть признаком различных заболеваний, таких как тонзиллит или кандидоз. Следите за состоянием ребенка: если он жалуется на боль в горле, затрудненное глотание или неприятный запах изо рта, это может потребовать обращения к врачу.
СОВЕТ №2
Увлажняйте воздух в помещении. Сухой воздух может усугубить состояние горла и способствовать образованию налета. Используйте увлажнитель или просто ставьте емкости с водой рядом с обогревателями, чтобы поддерживать оптимальный уровень влажности.
СОВЕТ №3
Обеспечьте ребенку обильное питье. Увлажнение организма помогает смягчить горло и способствует выведению токсинов. Предлагайте ребенку теплые напитки, такие как травяные чаи или компоты, которые могут облегчить дискомфорт.
СОВЕТ №4
Не занимайтесь самолечением. Если налет на миндалинах не проходит в течение нескольких дней или сопровождается другими симптомами, такими как кашель или сыпь, обязательно проконсультируйтесь с педиатром для получения точного диагноза и назначения лечения.


